Tẩy trắng răng bị nhiễm Tetracyline không hề đơn giản và không thể dùng các phương pháp tẩy trắng thông thường. Tại nha khoa Đăng Lưu, dựa trên tình trạng răng nhiễm Tetracyline của bạn ở mức độ nặng hay nhẹ mà bác sĩ nha khoa sẽ có phương pháp phù hợp để điều trị. Vậy có những cách nào có thể áp dụng để tẩy trắng hiệu quả nhất mà không gây ê buốt, đau nhức cho răng? răng vàng có tẩy trắng được không? Hãy cùng nha khoa Đăng Lưu tìm hiểu qua bài viết dưới đây.
Đôi nét về răng bị nhiễm Tetracycline
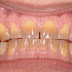
Tetracycline là loại thuốc kháng sinh được tiêm phòng cho trẻ em dưới 8 tuổi hoặc được chị em phụ nữ sử dụng trong thời kỳ mang thai. Loại kháng sinh này tác động khá mạnh vào hàm răng dẫn tới tình trạng sẫm màu răng (có thể nguyên hàm hoặc vài chỗ nhất định trên răng), nặng hơn có thể làm tổn thương và gây khiếm khuyết trên răng.
Răng bị nhiễm tetracycline là tình trạng rất dễ gặp hiện nay. Tình trạng này có thể làm người mắc phải cảm thấy tự ti. Bởi “cái răng cái tóc” là các yêu tố vô cùng quan trọng để đánh giá vẻ đẹp của con người. Tuy nhiên, nếu không may gặp phải tình trạng trên, bạn cũng đừng quá lo lắng. Hiện nay, cùng với sự phát triển của khoa học công nghệ, nhiều kỹ thuật bảo vệ, chăm sóc và làm đẹp răng ra đời và được nhiều khách hàng tin chọn, trong đó có kỹ thuật làm trắng răng bị nhiễm Tetracycline.
Làm trắng răng bị nhiễm Tetracycline
Những chiếc răng trắng sáng sẽ làm bạn cảm thấy hài lòng với bản thân và tự tin khi giao tiếp. Đó là lý do vì sao nhiều người lựa chọn giải pháp làm trắng răng bị nhiễm Tetracycline và họ đã thành công.
Làm trắng răng bị nhiễm Tetracycline là thủ thuật dùng ánh sáng của đèn LED để tẩy trắng răng. Thủ thuật này sử dụng năng lượng ánh sáng để cắt đứt các chuỗi nối đôi của protein tạo màu trong răng, giúp tạo ra hàm răng mới trắng sáng hơn. Đây là phương pháp thực hiện khá đơn giản trong vòng 60 phút. Sau thẩm mỹ, bác sĩ kiểm tra độ trắng sáng của răng đồng thời cho khách hàng lời khuyên về cách duy trì độ trắng sáng của răng.
Đối với những chiếc răng bị nhiễm tetracycline nặng kèm theo khiếm khuyết, trong trường hợp này, bác sĩ sẽ khuyên bệnh nhân nên sử dụng phương pháp phục hình bằng răng sứ thẩm mỹ. Đây là cách nhanh nhất để bạn sở hữu một hàm răng đẹp và trắng sáng.
=> Niềng răng mắc cài sứ giá bao nhiêu?
Làm trắng răng bị nhiễm Tetracycline ở đâu?
Vơi nhu cầu thẩm mỹ càng cao, kéo theo sự xuất hiện của hàng loạt các trung tâm nha khoa thẩm mỹ trên thị trường, việc tìm ra một địa chỉ làm đẹp an toàn và vừa ý quả thật không dễ dàng. Để tự tin với những chiếc răng xinh xắn, trắng sáng, khách hàng nên thật kỹ lưỡng trong việc lựa chọn địa chỉ thẩm mỹ.
Hoạt động trên lĩnh vực làm đẹp nhiều năm và nhận được nhiều hiệu ứng tích cực từ khách hàng, Nha khoa Đăng Lưu tự hào là nơi làm đẹp đáng tin cậy của mọi chị em. Tại đây sở hữu hệ thống trang thiết bị hiện đại, đội ngũ y bác sĩ chuyên khoa chuyên nghiệp, chuyên môn cao và tận tâm cùng với việc không ngừng cập nhật các kỹ thuật làm đẹp răng tiên tiến nhất, đảm bảo mang đến quý khách hàng một dịch vụ làm đẹp chất lượng.
Khi đến với trung tâm Nha khoa Đăng Lưu, tùy theo từng trạng răng của mỗi khách hàng, bác sĩ sẽ phân tích và tư vấn cho bạn phương pháp tẩy trắng răng bị nhiễm tetracycline tối ưu nhất. Chúc bạn sớm sở hữu những chiếc răng trắng sáng và nụ cười tỏa nắng.
![]() |
| Làm trắng răng bị nhiễm tetracycline |
Đôi nét về răng bị nhiễm Tetracycline
Tetracycline là loại thuốc kháng sinh được tiêm phòng cho trẻ em dưới 8 tuổi hoặc được chị em phụ nữ sử dụng trong thời kỳ mang thai. Loại kháng sinh này tác động khá mạnh vào hàm răng dẫn tới tình trạng sẫm màu răng (có thể nguyên hàm hoặc vài chỗ nhất định trên răng), nặng hơn có thể làm tổn thương và gây khiếm khuyết trên răng.
Răng bị nhiễm tetracycline là tình trạng rất dễ gặp hiện nay. Tình trạng này có thể làm người mắc phải cảm thấy tự ti. Bởi “cái răng cái tóc” là các yêu tố vô cùng quan trọng để đánh giá vẻ đẹp của con người. Tuy nhiên, nếu không may gặp phải tình trạng trên, bạn cũng đừng quá lo lắng. Hiện nay, cùng với sự phát triển của khoa học công nghệ, nhiều kỹ thuật bảo vệ, chăm sóc và làm đẹp răng ra đời và được nhiều khách hàng tin chọn, trong đó có kỹ thuật làm trắng răng bị nhiễm Tetracycline.
Làm trắng răng bị nhiễm Tetracycline
Những chiếc răng trắng sáng sẽ làm bạn cảm thấy hài lòng với bản thân và tự tin khi giao tiếp. Đó là lý do vì sao nhiều người lựa chọn giải pháp làm trắng răng bị nhiễm Tetracycline và họ đã thành công.
Làm trắng răng bị nhiễm Tetracycline là thủ thuật dùng ánh sáng của đèn LED để tẩy trắng răng. Thủ thuật này sử dụng năng lượng ánh sáng để cắt đứt các chuỗi nối đôi của protein tạo màu trong răng, giúp tạo ra hàm răng mới trắng sáng hơn. Đây là phương pháp thực hiện khá đơn giản trong vòng 60 phút. Sau thẩm mỹ, bác sĩ kiểm tra độ trắng sáng của răng đồng thời cho khách hàng lời khuyên về cách duy trì độ trắng sáng của răng.
Đối với những chiếc răng bị nhiễm tetracycline nặng kèm theo khiếm khuyết, trong trường hợp này, bác sĩ sẽ khuyên bệnh nhân nên sử dụng phương pháp phục hình bằng răng sứ thẩm mỹ. Đây là cách nhanh nhất để bạn sở hữu một hàm răng đẹp và trắng sáng.
=> Niềng răng mắc cài sứ giá bao nhiêu?
Làm trắng răng bị nhiễm Tetracycline ở đâu?
Vơi nhu cầu thẩm mỹ càng cao, kéo theo sự xuất hiện của hàng loạt các trung tâm nha khoa thẩm mỹ trên thị trường, việc tìm ra một địa chỉ làm đẹp an toàn và vừa ý quả thật không dễ dàng. Để tự tin với những chiếc răng xinh xắn, trắng sáng, khách hàng nên thật kỹ lưỡng trong việc lựa chọn địa chỉ thẩm mỹ.
Hoạt động trên lĩnh vực làm đẹp nhiều năm và nhận được nhiều hiệu ứng tích cực từ khách hàng, Nha khoa Đăng Lưu tự hào là nơi làm đẹp đáng tin cậy của mọi chị em. Tại đây sở hữu hệ thống trang thiết bị hiện đại, đội ngũ y bác sĩ chuyên khoa chuyên nghiệp, chuyên môn cao và tận tâm cùng với việc không ngừng cập nhật các kỹ thuật làm đẹp răng tiên tiến nhất, đảm bảo mang đến quý khách hàng một dịch vụ làm đẹp chất lượng.
Khi đến với trung tâm Nha khoa Đăng Lưu, tùy theo từng trạng răng của mỗi khách hàng, bác sĩ sẽ phân tích và tư vấn cho bạn phương pháp tẩy trắng răng bị nhiễm tetracycline tối ưu nhất. Chúc bạn sớm sở hữu những chiếc răng trắng sáng và nụ cười tỏa nắng.
Bài viết được trích nguồn tại: http://niengrangkhongmaccai.org
Thông tin liên hệ:
Trung tâm nha khoa Đăng Lưu
Cơ sở 1: 34 Phan Đăng Lưu, P.6, Q.BìnhThạnh - (+84 8) 6297 7148
Cơ sở 2 : 540 Trần Hưng Đạo, P.2, Q.5 - (+84 8) 6682 0246
Hotline: 08 3803 0578
Thông tin liên hệ:
Trung tâm nha khoa Đăng Lưu
Cơ sở 1: 34 Phan Đăng Lưu, P.6, Q.BìnhThạnh - (+84 8) 6297 7148
Cơ sở 2 : 540 Trần Hưng Đạo, P.2, Q.5 - (+84 8) 6682 0246
Hotline: 08 3803 0578
TG: VT
